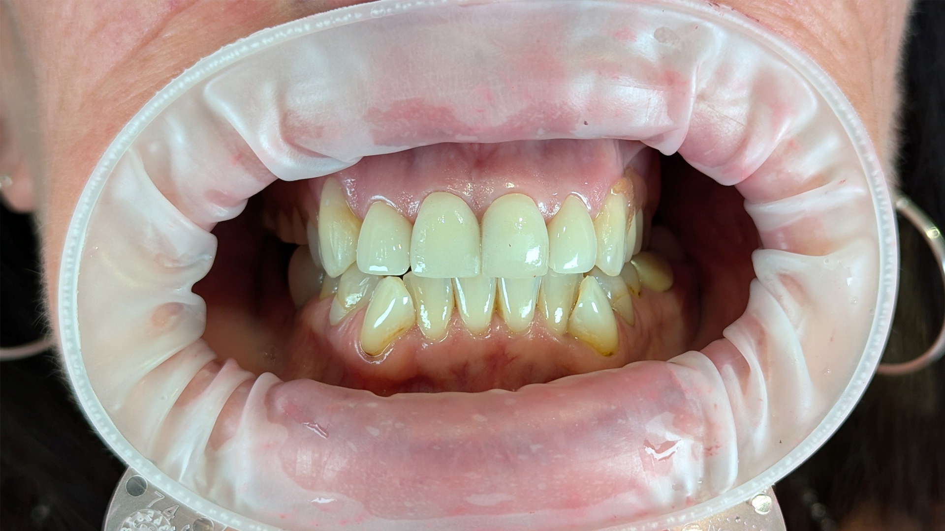
Managing decay in the front 4 and creating a full smile using prosthodontic work.
Participants will learn: Rehabilitation of a front smile that has caries and creating an aesthetic result.
Login to access
Register for a free Colgate Oral Health Network account, it only takes a minute!
Register now 
	Managing decay in the front 4 and creating a full smile using prosthodontic work.
Participants will learn: Rehabilitation of a front smile that has caries and creating an aesthetic result.
Login to access