To access this curriculum please login or become a member
Existing member? Please login here:
Don't have a Colgate Oral Health Network account yet?
Register for a free Colgate Oral Health Network account, it only takes a minute!
Register nowDental Caries
This curriculum bundle contains numerous webinars and articles. These address the prevalence of dental caries, risk assessment and the prevention and management of dental caries. In addition, content is provided on white spot lesions, sugars and intake reduction, polyols. One webinar address molar hypomineralization, highlighting the problem this presents and its management.
Management of Caries as a Dynamic Disease Process
This presentation provides information on dental caries is a dynamic dietomicrobial disease that involves multiple cycles of demineralization and remineralization. Participants will learn how the theoretical understanding of the caries process can be applied clinically, and how caries risk assessment can assist in the diagnosis and management of early carious lesions. Best approaches for preventing, arresting or reversing early caries development based on available evidence will also be discussed.
Webinar detailsManagement of White Spot Lesion Prevention for a Patient under Ortho Treatment
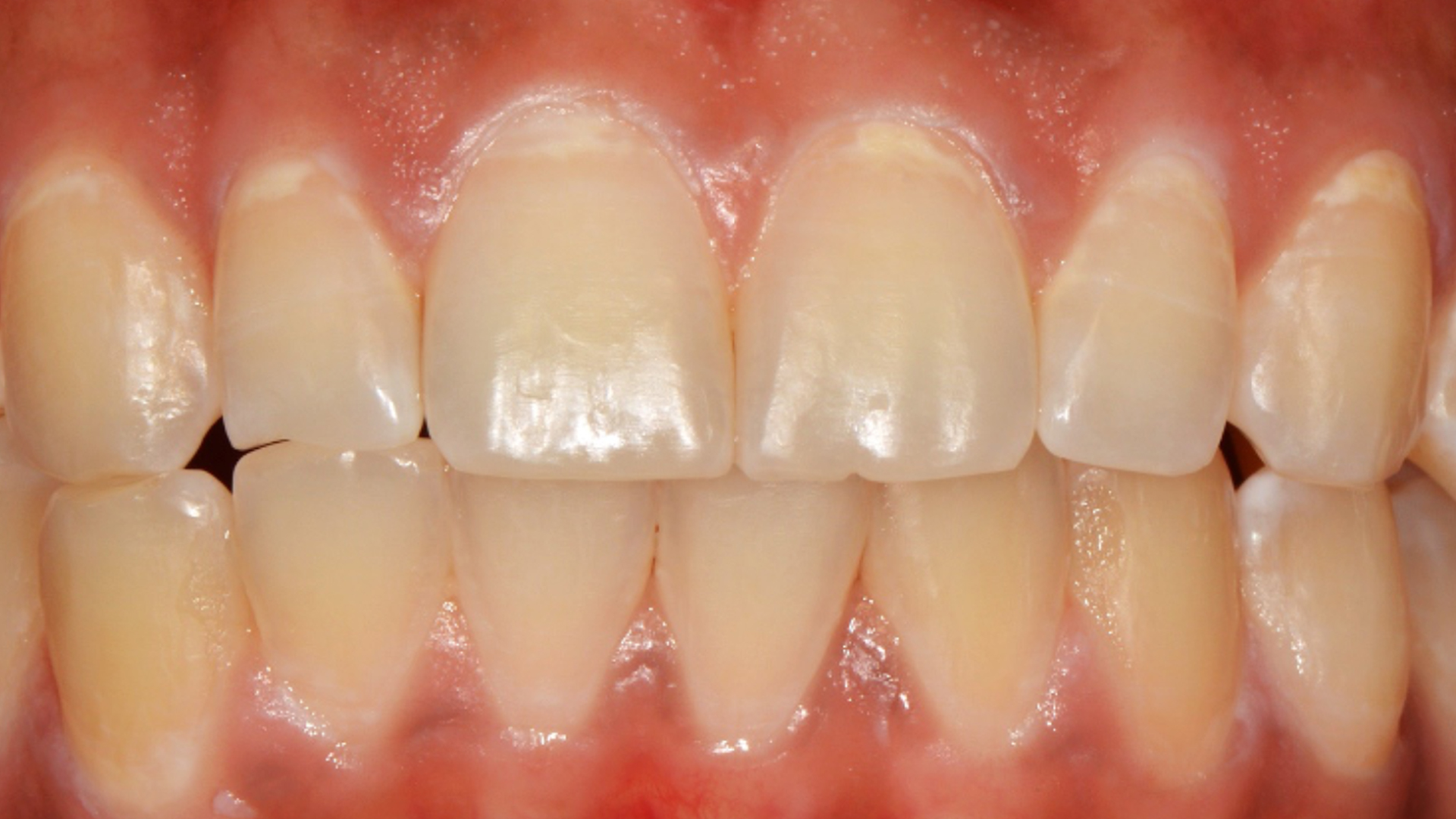
This webinar will provide information on the formation of white spot lesions and on the treatment options available from non-invasive to invasive.
Webinar detailsPreventing Your Way to Success
This course will discuss how focusing on prevention and “coaching” patients towards optimal oral health leads to more patient referrals, greater patient loyalty, better treatment outcomes and less stress for the dental team.
Webinar details

